|
|
|
|
|
科学家破解卵子起源糖尿病代际遗传之谜 |
|
为认识和防控糖尿病等慢病提供新视角 |
5月18日,《自然》在线发表中科院院士、教育部生殖遗传重点实验室(浙江大学)和复旦大学生殖与发育研究院教授黄荷凤与中科院院士、中科院分子细胞科学卓越创新中心研究员徐国良团队合作研究的最新成果。
该研究证实了糖尿病的卵母细胞起源,首次揭示了卵子源性糖尿病代际传递中表观遗传甲基化的精确调控机制,解析了卵母细胞母本(Tet3)调控父本亲缘遗传特性的子代胰岛素分泌不足,而实现糖尿病易感性的代际遗传,为人类认识和防控糖尿病等成人慢病提供了崭新的科学视角。
“子承母疾”:母亲生殖细胞介导糖尿病传代效应
上世纪90年代,英国学者Barker提出宫内时期(胎儿期)不良环境暴露,成年后糖尿病、高血压等慢性病的发生率增加,为成人慢性病的发病机制提供了新思路。
Barker学说的发展促进了孕期环境暴露对出生子代健康的重要性。
“目前,临床普遍上将这一类起源于生命早期的代谢、心血管疾病等慢性疾病称为发育源性疾病。”黄荷凤告诉《中国科学报》,“这是一种迟发性出生缺陷,影响深远而广泛,给社会和家庭带来沉重负担,严重影响我国人口健康。”
作为国际上最早开展发育源性疾病研究的团队之一,黄荷凤课题组长期致力于母体孕期环境因素暴露致成人疾病的发生机制的研究,首次证实了孕期宫内高糖等因素暴露能够改变DNA甲基化造成代际/跨代的遗传,同时发现疾病起源可前移至孕前(配子发育期),率先在国际上提出了“配子源性成人疾病”学说。然而相较于孕期胎儿的直接暴露,配子或生殖细胞如何将不良环境因素传递给后代,相关作用机制尚未阐明。
基于这一问题,黄荷凤课题组与徐国良课题组合作,在既往研究基础上,经过不断探索,他们以孕前糖尿病为切入点,最终发现了女性卵子可介导糖尿病的传代效应,找到了开启卵源性代际遗传模式的关键钥匙——DNA去甲基化酶Tet3,并阐释了Tet3介导的代际遗传的调控途径和具体方式。
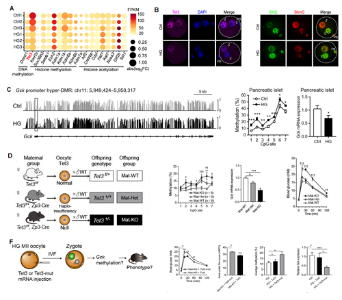
糖尿病是影响人类健康的慢病之一,其发生率高且发病隐匿,全世界范围内约有2/5的糖尿病妇女处于育龄期。研究团队以孕前糖尿病为例,建立链脲佐菌素诱导的糖尿病小鼠模型,获取糖尿病小鼠卵母细胞与正常雄鼠精子进行体外受精,将体外形成的早期胚胎植入正常代孕母鼠子宫继续发育。在排除孕期和产后高糖环境干扰后发现,子一代小鼠糖耐量受损,主要表现为胰岛素分泌不足,而子二代小鼠未出现明显的糖耐量异常。说明卵母细胞在孕前已被打上代谢异常的烙印,传递到后代引发了糖尿病代际遗传。

实验设计和子代主要表型图 受访者供图
“水落石出”:找到卵子源性糖尿病代际遗传密钥
表观遗传在环境因素与疾病易感性间起到了桥梁作用。研究人员利用卵母细胞转录组测序,并逐一验证表观遗传调控工具酶后发现,糖尿病小鼠卵细胞中DNA去甲基化酶,同时也是母源效应因子的Tet3显著下降。
徐国良课题组曾揭示Tet3在卵细胞重编程中的作用:卵细胞来源的母源因子Tet3负责将父本基因组DNA胞嘧啶甲基的氧化修饰,从而启动DNA去甲基化。这一研究结论为卵源性代际遗传提供了方向,本研究也进一步证实高血糖小鼠来源的卵母细胞体外受精后,受精卵的雄原核中Tet3表达下降,基因组甲基化水平改变。
子代胎鼠的胰岛全基因组甲基化测序显示,与胰岛素分泌相关的重要限速酶葡萄糖激酶(Gck)启动子区DNA高甲基化。利用Tet3敲除小鼠验证发现,卵母细胞时期Tet3基因敲除后,小鼠出现Gck启动子区域高甲基化、表达量下降和糖耐量异常。回补Tet3可显著恢复甲基化水平和子代糖耐量受损表型。
这表明Tet3在高血糖卵源性糖尿病传代效应中起到了关键的表观遗传调控作用。

卵子源性糖尿病代际遗传示意 受访者供图
“别有洞天”:卵子代谢印记竟由父本基因传递
有意思的是,尽管卵子经历了高糖暴露,但Tet3影响子代发病的靶基因并非母本基因,而是父本基因。
为验证子代甲基化谱式改变的来源和可继承性,课题组以目标基因Gck为例,发现Gck启动子的高甲基化最早来源于受精卵的雄原核,并随着发育能持续到子代成年小鼠胰岛中。
“在区分Gck基因高甲基化的父本和母本来源时发现,在囊胚和子代胰岛中,胰岛素分泌基因都呈现父本特异性高甲基化。”该文的同第一作者之一、教育部生殖遗传重点实验室(浙江大学)博士陈宾解释说,“这一结果揭示高血糖暴露后,胰岛素分泌基因的高甲基化来源于父本基因组,并且传递到子代。”
更值得关注的是,研究团队同时在上海、浙江多家医院生殖中心收取的临床糖尿病患者的GV期卵母细胞和囊胚也分别显示出Tet3表达降低的趋势和Gck启动子区高甲基化的状态,这提示研究团队在小鼠模型中的发现具有临床意义,为临床指导和应用带来了可能。
这一发现加深了人们对发育源性疾病的理解,不但首次在排除孕期干扰后,直视了卵子作为传递载体起到的代际遗传作用,还从分子角度勾勒出Tet3作为解密钥匙,开启了别有洞天的父本遗传路线,实现了发育源性成人疾病研究的重大突破。
目前,高血压、糖尿病等慢性疾病流行趋势日益增加,长期以来患者的健康管理和治疗占用了大量公共卫生资源,社会不得不应对这类高发疾病带来的沉重负担。
黄荷凤表示:目前成人期慢病预防效果不理想,迫使我们另辟蹊径,从新角度寻求突破。包括这项研究在内的一系列发育源性疾病研究成果带给我们启示,应该充分认识生命早期即开始干预的可能性和重要性,给予年轻男女以及母婴时期的充分关注,从根本上转变疾病防控思路,这也许对于慢病的预防才是务实和有效的。
“这也和中国自古以来‘上医治未病’的医疗智慧不谋而合。”黄荷凤说,“这项研究为生命早期干预的理念提供了关键理论基础,是我们接下来开展临床研究和实践的重要前提,研究成果有望成为临床转化应用的经典范例,这为提前管理时间,发育源头防控慢病,降低出生缺陷、提高我国人口健康提供了全新视角和策略。”(来源:中国科学报 张双虎 崔雪芹 黄辛)
相关论文信息:https://doi.org/10.1038/s41586-022-04756-4
版权声明:凡本网注明“来源:中国科学报、科学网、科学新闻杂志”的所有作品,网站转载,请在正文上方注明来源和作者,且不得对内容作实质性改动;微信公众号、头条号等新媒体平台,转载请联系授权。邮箱:shouquan@stimes.cn。